-
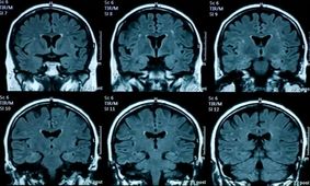
پژوهشی جدید: مغز نوجوانانی که در دوران قرنطینه کرونا زندگی کردهاند، سریعتر پیر میشودطبق این مطالعه، تغییرات فیزیکی مغز نوجوانان در دوران پس از همهگیری، بسیار سریعتر رخ داده که این امر منجر به پیری…
طبق این مطالعه، تغییرات فیزیکی مغز نوجوانان در دوران پس از همهگیری، بسیار سریعتر رخ داده که این امر منجر به پیری…
کلیه حقوق متعلق به سایت اینترنتی اقتصاد ایرانی است
طراحی سایت خبری و خبرگزاری آسام